Wil je mensen overtuigen van jouw idee, product, of dienst, gebruik dan het woord ‘neuro’ of ‘brein’. Immers, meet je de hersenen, dan meet je wat er écht gebeurt in onze grijze massa. Maar hoe geloofwaardig zijn al die neurowetenschappelijke toepassingen en is meten wel echt weten?
Neurowetenschappelijke toepassingen worden steeds populairder. Dit zien we bijvoorbeeld aan de opkomst van de neuromarketing bij bedrijven, hersenscans bij medische diagnoses, en brain-training apps tegen Alzheimer.
Zoals het mateloos populaire boek van neurobioloog Dick Swaab ons al vertelt: ‘Wij zijn ons brein’. Onze voorkeuren, emoties, persoonlijkheid – alles is vastgelegd in onze hersenen. Deze visie op het brein en de mens zelf wordt steeds meer mainstream en dat zie je terug in maatschappelijke toepassingen. Veel mensen denken daardoor dat het meten van de hersenen (met bijvoorbeeld hersenscans) de enige manier is om een objectief antwoord te krijgen op vragen in de maatschappij of de wetenschap.
Wil je weten of je kind ADHD heeft? Vraag dan om een hersenscan. Wil je als rechter beslissen of iemand schuldig is of niet? Laat een leugentest afnemen in een MRI-scanner. Hoewel deze ontwikkelingen in het toepassen van neurowetenschap in bijvoorbeeld de medische en juridische wereld nuttig kunnen zijn, schuilen er ook gevaren in het idee dat hersenmetingen een objectieve kijk geven op de mens.
Verwarring in het brein
Neem bijvoorbeeld de toepassing van hersenscans in de psychiatrie, waarbij onderzoekers en artsen analyses ontwikkelen om aandoeningen zoals ADHD en autisme te herkennen aan de hand van MRI-scans. Dit werkt als volgt: je verzamelt hersenscans van honderd mensen met ADHD en honderd mensen zonder ADHD.
Vervolgens ontwikkel je een statistisch model dat zo accuraat mogelijk de ADHD-hersenscans van de niet-ADHD-hersenscans kan onderscheiden. Dan kan je, met het statistische model dat je hebt ontwikkeld, daarna bij nieuwe mensen bepalen of ze ADHD hebben of juist niet.

Een statistisch model om te onderzoeken of iemand ADHD heeft, kent veel valkuilen.
Lukas Snoek voor NEMO KennislinkZo’n aanpak veronderstelt natuurlijk dat je statistische model de neurale verschillen tussen ADHD en niet-ADHD oppikt. Dit hoeft echter niet per se het geval te zijn! Het verschil kan namelijk ook simpelweg worden verklaard door het feit dat mensen met ADHD veel meer bewegen tijdens het maken van de hersenscan in de MRI-scanner, wat je misschien wel kan voorstellen gezien de symptomen van ADHD.
Probeer iemand die zoveel beweegt als Jochem Myjer maar eens stil te laten liggen in een MRI-scanner.
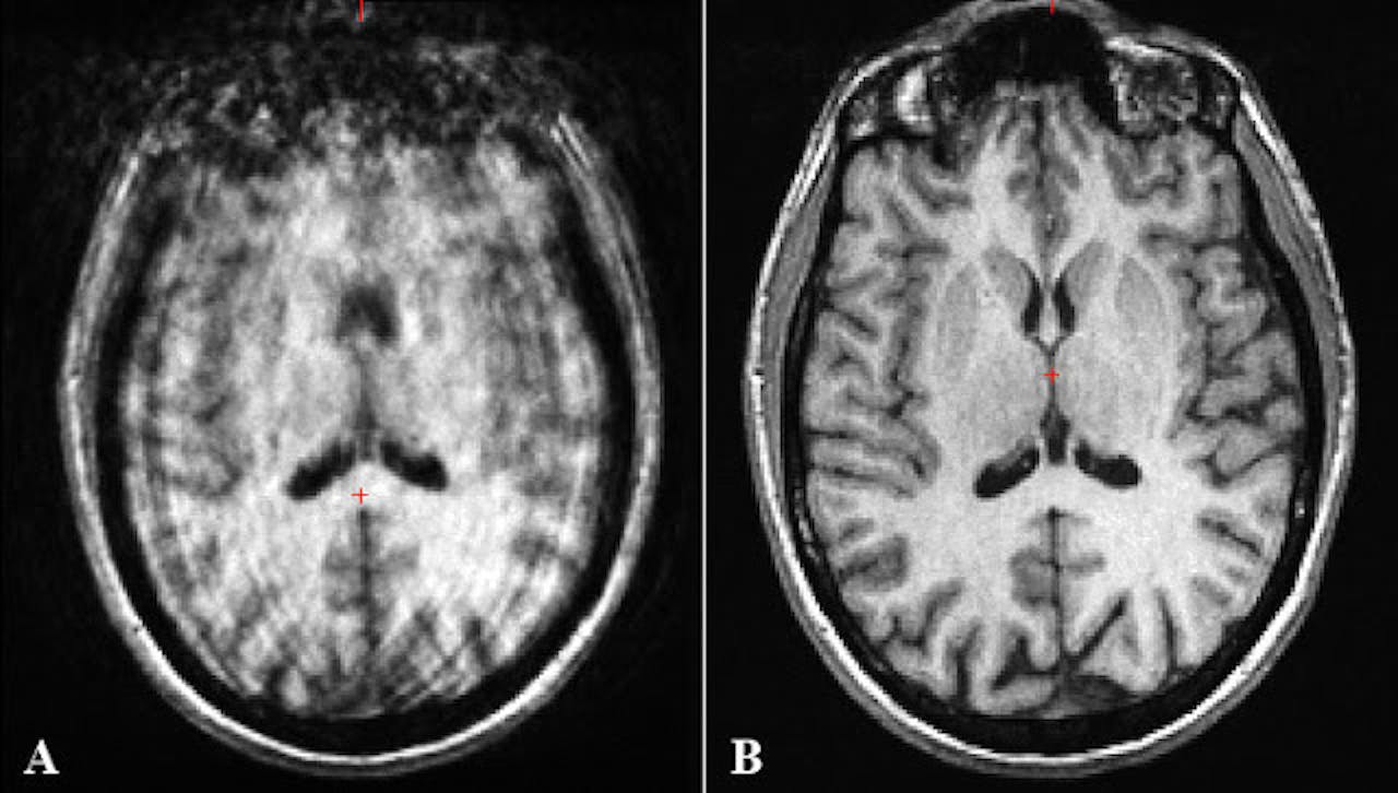
Beweging heeft ontzettend veel invloed op de kwaliteit van hersenscans (zie plaatje hieronder), waardoor jouw statistische model helemaal niet de neurale verschillen bij ADHD oppikt, maar simpelweg gebaseerd is op het verschil in beweging!

Beweging heeft ontzettend veel invloed op de kwaliteit van hersenscans
Do Tromp, A guide to quantifying head motion in DTI studies,The Winnower 3:e146228.88496 (2016) CC BY 4.0Dit soort onverwachte invloeden, zoals beweging bij ADHD-onderzoek, noemen we in de wetenschap verwarrende variabelen’ (in het Engels: confounds). Deze confounds zorgen ervoor dat je stiekem helemaal niet meet wat je denkt dat je meet. Met andere woorden, in dat geval is meten helemaal niet weten! En dit kan een groot probleem zijn.
Stel je bijvoorbeeld voor dat iemand de MRI-scanner in gaat voor zo’n ADHD-diagnose, maar ontzettend zenuwachtig is of slecht geslapen heeft en acht koppen koffie van tevoren heeft gedronken, dan zal hij/zij waarschijnlijk relatief veel bewegen in de scanner en vervolgens misschien wel ten onrechte een ADHD diagnose krijgen!
Mannen- en vrouwenhersenen
Een ander interessant voorbeeld van hersenonderzoek dat onderhevig is aan zulke verwarrende variabelen is onderzoek naar het verschil in de hersenen tussen vrouwen en mannen. Zulk onderzoek laat zien dat statistische modellen op basis van MRI-scans met bijna 100% accuratesse mannen van vrouwen kunnen onderscheiden.
Vervolgens worden dit soort onderzoeken te pas en te onpas aangehaald in populaire media om allerlei man-vrouw verschillen te verklaren, waaronder dat vrouwen emotioneler zijn dan mannen en vrouwen meer piekeren dan mannen.
In mijn eigen onderzoek heb ik laten zien dat ook bij dit onderzoek naar man-vrouw verschillen in de hersenen een overduidelijke confound aanwezig is. Dat komt namelijk door de algemene omvang van de hersenen!
Mannen zijn simpelweg over het algemeen (gemiddeld) groter dan vrouwen, en hebben dus ook logischerwijs (gemiddeld) grotere hersenen. Mannen hebben ook gemiddeld een grotere pink, maar dat zegt niet zoveel. Als ik zou zeggen dat mannen minder piekeren omdat ze een grotere pink hebben, dan zou men mij (terecht) voor gek verklaren.
In zekere zin is dat voor de hersenen niet anders. Dat laat ik ook zien in mijn onderzoek: als we controleren voor de variabele ‘totale hersenomvang’, zodat dit geen invloed meer heeft op het model, dan daalt de acuratesse van het model van bijna 100% naar 65% – een score die maar marginaal beter is dan een model die willekeurig man/vrouw voorspellingen doet (die zou namelijk 50% scoren).
Wantrouwen in de (hersen)wetenschap
In de voorbeelden over hersenscans voor ADHD diagnose en man-vrouw verschillen lijkt het misschien net alsof de wetenschappers achter dit soort onderzoeken zich niet bewust zijn van de confounds in hun analyses, maar dat is (grotendeels) niet zo! Tijdens studies van experimentele vakgebieden zoals psychologie en neurowetenschappen krijgt men uitgebreid les over confounds en hoe er mee om te gaan.
Daarom zijn wetenschappers vaak zo voorzichtig met hun uitspraken van hun onderzoek; je hoort wetenschappers bijna nooit zeggen “We hebben dit nu ontegenzeggelijk bewezen!”, maar eerder iets in de trant van “Onze resultaten lijken onze theorie enigszins te ondersteunen in context A, mits je goed controleert voor variabelen X en Y”.
Wetenschap is zelden zo rechttoe-rechtaan als je soms leest in de media, en neurowetenschappelijke toepassingen in de maatschappij kun je dus maar beter met gezond scepticisme bekijken.

